Soins

L’esthétique dentaire : synonyme de confiance en soi et de bien être !

Goutierre adultes Genève

Mais qu’entend-on par esthétique dentaire ?

  • La teinte des dents
  • La santé de la gencive
  • La position et l’alignement des dents
  • La qualité des dents

Qu’est-ce qu’un traitement dentaire esthétique ?

Les traitements dentaires esthétiques interviennent sur la forme, sur la teinte, sur la position des dents et/ou sur les tissus de soutien des dents. Tous les traitements esthétiques doivent également être fonctionnels et sans sur-traitement (intervention sur une dent qui n’est pas indispensable). Leur but est de :

  • Redonner l’aspect naturel d’un sourire déplaisant
  • Améliorer l’aspect naturel d’un sourire initialement disgracieux

Les différents traitements dentaires esthétiques

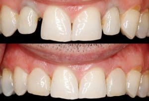
Composite esthetique

La correction des défauts de forme dentaire congénitale ou dus à un accident ; via la confection de résines composites ou prothèse fixe (couronne, facette, etc.)

before-and-after

L’amélioration de la teinte des dents par blanchiment

Pour plus d’informations sur le blanchiment dentaire suivez le lien qui suit.

Implant dentaire

Le remplacement des dents manquantes par implants dentaires ou appareils amovibles (prothèses)

Avant après orthodontie

La correction du positionnement des dents par orthodontie

Au Centre Médico-Dentaire Balexert, nous effectuons tous les traitements dentaires esthétiques en assurant la meilleure fonctionnalité et en privilégiant une approche la plus conservatrice possible sans sur-traitement. Tous ces soins dentaires esthétiques sont réalisés dans un profond respect éthique.