Esthétique dentaire à Genève

Orthodontiste à Genève: enfants et adultes

Vous rêvez d'un sourire éclatant ?

Vous souhaitez améliorer l’esthétique de votre sourire ? Éclaircir vos dents ? Corriger leur forme ? Notre équipe de dentistes esthétiques à Genève vous propose des solutions personnalisées pour sublimer votre sourire avec les techniques les plus modernes.

L’esthétique dentaire permet d’améliorer l’apparence de vos dents existantes sans les abîmer. Que ce soit pour des dents tachées, légèrement mal positionnées (pour les cas complexes, consultez notre section orthodontie), usées ou simplement pour obtenir un sourire plus blanc et harmonieux, nous avons la solution adaptée à vos attentes.

Nos dentistes maîtrisent toutes les techniques esthétiques : blanchiment professionnel, facettes céramique, reconstitutions esthétiques. Nous analysons votre sourire dans sa globalité pour vous proposer un plan de traitement personnalisé qui respecte votre physionomie naturelle.
Offrez-vous le sourire dont vous avez toujours rêvé !

Notre processus esthétique dentaire

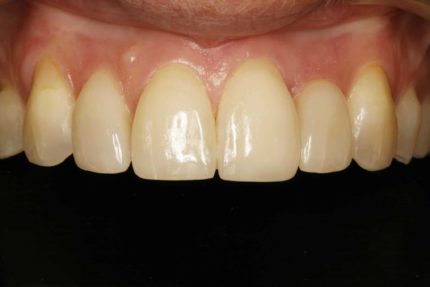
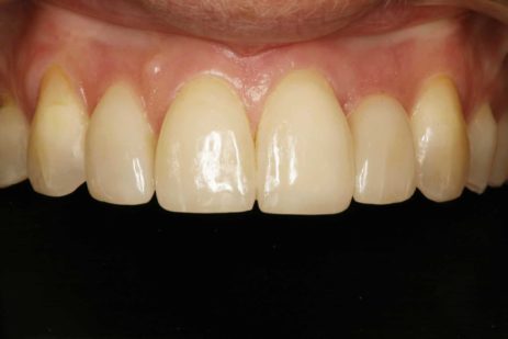
La transformation esthétique de votre sourire au CMD Balexert suit une approche artistique et médicale rigoureuse. Notre méthode allie analyse esthétique approfondie et techniques de pointe pour créer un sourire harmonieux qui vous ressemble.

Chaque traitement esthétique est unique car chaque visage est unique. De l’analyse de votre sourire à la réalisation finale, nos dentistes vous accompagnent pour créer le sourire parfait qui sublimera votre beauté naturelle et renforcera votre confiance en vous.

Tarif esthétique dentaire

À partir de 460 CHF

Blanchiment “Home bleaching”

Quand opter pour l'esthétique dentaire ?

Selon vos besoins esthétiques

  • Dents tachées ou jaunies : Blanchiment professionnel pour retrouver la blancheur naturelle
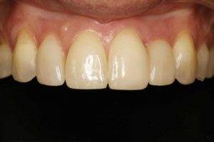
  • Dents mal formées : Facettes céramique pour corriger la forme et la taille
  • Sourire irrégulier : Facettes multiples pour harmoniser l’ensemble du sourire
  • Dents usées : Reconstitution esthétique pour redonner volume et éclat

L’esthétique dentaire s’adresse aux patients qui souhaitent améliorer leur sourire sans problème médical majeur. C’est un investissement dans votre bien-être et votre confiance en vous qui transforme votre relation aux autres et votre épanouissement personnel.

Questions fréquentes sur l'esthétique dentaire